At Clevacat, we love highlighting breakthroughs where artificial intelligence delivers measurable, life‑saving results. One of the most exciting recent developments is Mirai, an AI model developed by the MIT Jameel Clinic and Mass General Brigham. This tool has the potential to transform how breast cancer is detected, making screening more precise, equitable, and impactful worldwide.
The Origins of Mirai
Mirai was born from the MIT Jameel Clinic’s mission to harness AI for healthcare. Professor Regina Barzilay, herself a breast cancer survivor, and her collaborators Adam Yala and radiologists at Massachusetts General Hospital, led the development. Their goal: create an AI system that could see risk factors invisible to the human eye. (Community Jameel)
How Mirai Works
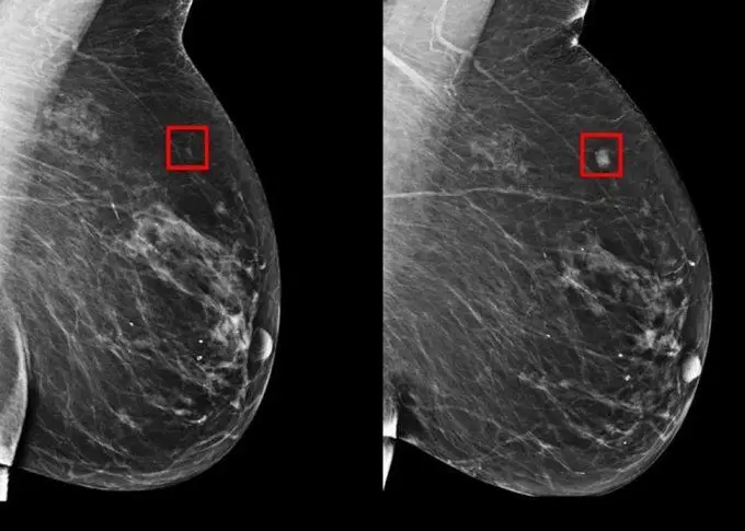
Traditional risk models, like Tyrer‑Cuzick, rely on family history and clinical factors. Mirai takes a different approach:
- It uses deep learning to analyze mammograms directly.
- It was trained on over 2 million images. (NAM)
- It can predict personalized five‑year cancer risk, across age groups, races, and breast densities.
- Unlike older tools, it does not require patient history.
By uncovering subtle imaging patterns, Mirai detects risks long before traditional models can. (WIRED)

Clinical Validation
Mirai isn’t just a promising concept—it has been rigorously tested:
- Outperformed the Tyrer‑Cuzick model, correctly identifying 41.5% of women who developed cancer within five years (versus 22.9%). (MIT Jameel Clinic)
- Validated on 1.5+ million mammograms across 43 hospitals in 14 countries—with accuracy maintained across diverse populations. (Community Jameel)
- Latest expansions include validation on up to 2 million mammograms across 22 countries. (NAM)
Global Reach and Equity
One of Mirai’s most powerful contributions is its global applicability:
- It is already in use at over 60 hospitals worldwide, from the U.S. to Brazil and Nigeria. (MIT Jameel Clinic)
- Backed by the Wellcome Trust and the Jameel Clinic AI Hospital Network, it is being deployed even in regions with limited healthcare resources. (Community Jameel)
- By working consistently across ethnic groups, it addresses long‑standing equity gaps in breast cancer detection. (NAM)
Why It Matters
Breast cancer remains one of the world’s leading causes of cancer deaths among women. Current screening guidelines are often one‑size‑fits‑all, leading to missed cancers or unnecessary procedures. Mirai enables:
- Earlier detection of high‑risk patients.
- Fewer false positives, saving patients stress and healthcare systems costs.
- Personalized screening plans, adapted to individual risk rather than outdated guidelines.
Studies suggest Mirai could prevent 18 advanced cancers per 1,000 diagnoses - a staggering potential to save lives and resources. (PubMed study)
What’s Next
Mirai is currently being tested in clinical trials at institutions like UCSF and the University of Massachusetts. These studies are evaluating whether interventions such as immediate MRI scans for high‑risk patients improve survival rates. (UC Berkeley)
Meanwhile, its open‑source code ensures transparency and rapid adoption. (MIT Jameel Clinic)
Conclusion
Mirai is not just a glimpse into the future of healthcare - it’s already here, reshaping breast cancer detection worldwide. By merging cutting‑edge AI with global collaboration, it is poised to save hundreds of thousands of lives every year.